Vandervoort Family Dentistry
William M. Vandervoort and Jordan L. Smith

Porcelain Veneers

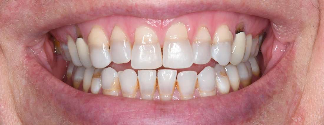
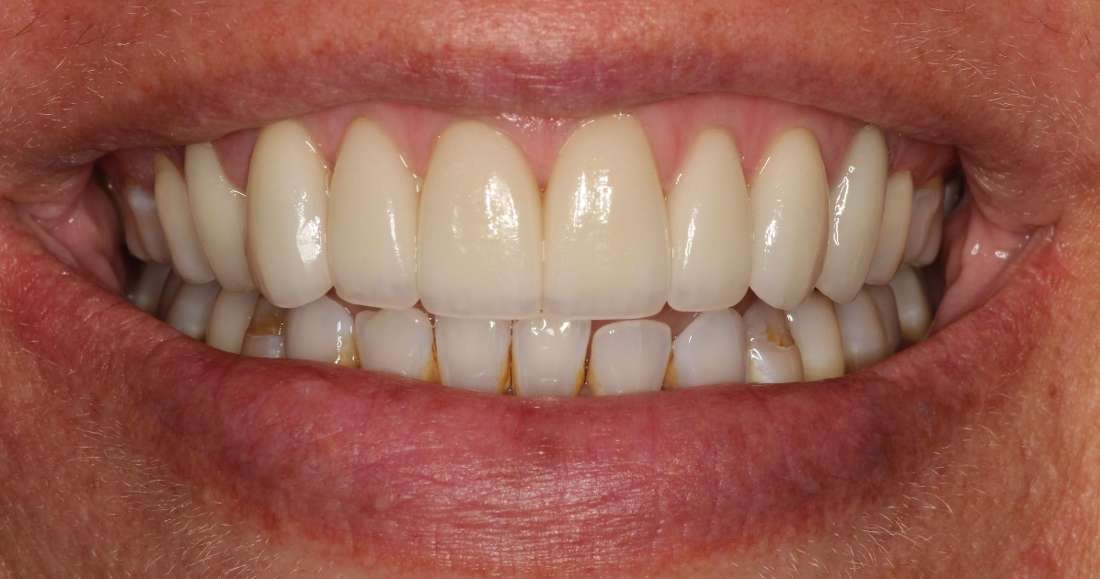
This smile gallery case showcases a remarkable transformation for a woman who opted for porcelain veneers to enhance her smile. Initially, she struggled with gaps between her teeth and slight misalignment, which made her feel self-conscious. After discussing her goals with our dental team, she chose porcelain veneers as an effective solution to achieve a more uniform and radiant smile. The veneers were custom-designed to match her facial structure and skin tone, ensuring a natural look. Following the procedure, her smile was dramatically improved, with beautifully aligned, bright teeth that complemented her features perfectly. The result not only elevated her confidence but also revitalized her entire appearance, allowing her to embrace her smile with pride.

Interested in transforming your smile with veneers? Schedule your appointment at Vandervoort Family Dentistry today!

Related Services:

Porcelain Veneers
Mouth before porcelain veneers, tuscaloosa al Mouth after porcelain veneers, tuscaloosa al
We Warmly Welcome New Patients to Our Practice
If you have difficulty using our website, please email us or call us at (205) 345-7755
View the ADA Accessibility Statement