Vandervoort Family Dentistry
William M. Vandervoort and Jordan L. Smith

Teeth Whitening, Porcelain Crowns, Dental Implants, and Implant Crowns

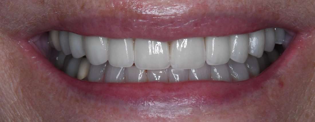
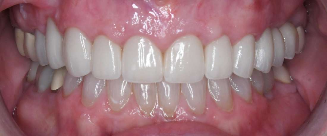
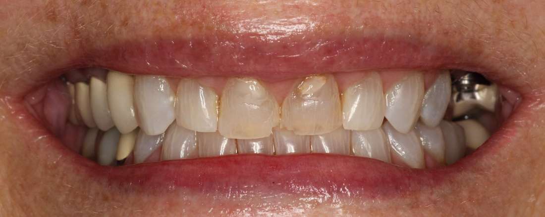
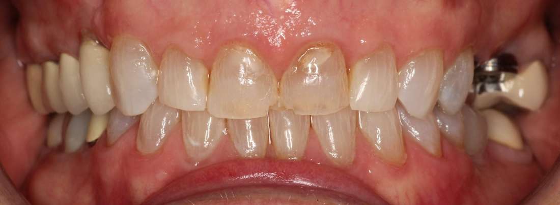
This smile gallery case showcases a remarkable transformation achieved through teeth whitening, porcelain crowns, dental implants, and implant crowns. The patient came to us with stained teeth and gaps from missing teeth that affected their confidence and overall smile. We implemented a comprehensive treatment plan that included professional teeth whitening to brighten their smile, porcelain crowns for a more uniform appearance, and dental implants to replace the missing teeth, topped with custom implant crowns for a natural look. The result is a beautiful, radiant smile that has significantly boosted their self-esteem.

If you’re ready for your smile makeover, contact Vandervoort Family Dentistry today to schedule your consultation!

Close up of teeth before teeth whitening, tuscaloosa al Close up of teeth after teeth whitening, tuscaloosa al
Close up of mouth before teeth whitening and crowns, tuscaloosa al Close up of mouth after teeth whitening and crowns, tuscaloosa al
Are You Ready to Book Your Next Dental Visit?
If you have difficulty using our website, please email us or call us at (205) 345-7755
View the ADA Accessibility Statement